
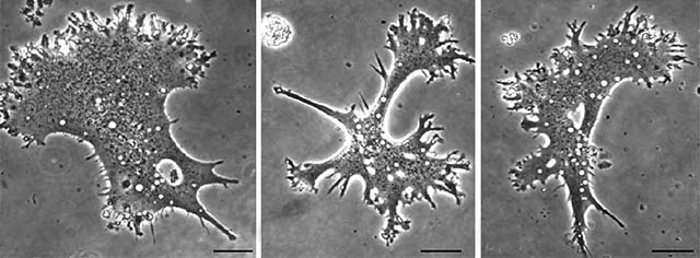
Leptomyxa silvatica, after Glotova et al., 2021 (scale bar=50 µm)
Leptomyxa silvatica Glotova et al., 2021
Diagnosis: Flattened, expanded or ramose amoebae. Moving cells form an area of lobo-reticulopodia on the frontal edge. Moving cells are 60—160 µm across in length and up to 190 µm in width. Trophozoites contain up to 20—30 ovoid vesicular nuclei up to 7 µm in largest dimension. Single-walled rounded or ovoid uninucleate cysts are 24—45 µm across.
Ecology: Type location: Chernevaya taiga soil from a location nearby Tomsk city (Russia, West Siberia, Tomskaya oblast; 56.30693° N, 85.47063° W)

Leptomyxa silvatica, after Glotova et al., 2021 (scale bar=50 µm)