
Nuclearia delicatula Cienkowski, 1865
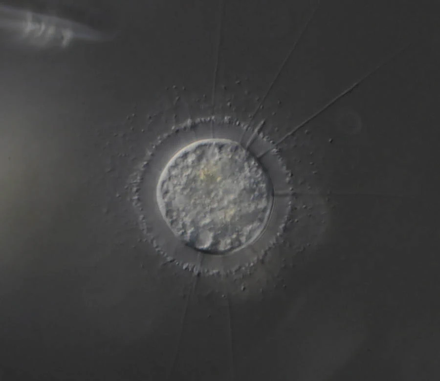
Diagnosis: Cell spherical to flattened elongated; variable, surrounded by a mucilaginous coat, varying in thickness from 2-3 µm; bacteria often adhering to this envelope. Filopodia radiating from all regions of the cell but a thicker, shorter, and more contractile pseudopodium was often observed and may be connected with the attachment of cells to the substratum. Multinucleated, 4-12 nuclei, nucleoli smooth and rounded, sometimes irregular. Two or three contractile vacuoles per cell. No cysts observed. No crystals were observed in the cytoplasm. Reproduction by binary fission.
Dimensions: diameter spherical cells 22-50 µm, elongated trophic forms reached 40 um, with an average width of 66 um. Nuclei c. 7.5 µm, nucleoli 3 µm in diameter.
Ecology: Freshwater. Feeding on diverse filamentous algae and diatoms.









