
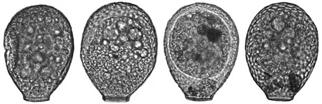
Nebela tincta (Leidy, 1879) sensu Kosakyan & Lara, 2013
Diagnosis: The test is ovoid or elongated elliptic, slightly yellowish or brownish, laterally compressed with small lateral pores (number of pores can vary), which sometimes can be difficult to observe. The test is generally composed mainly of oval or circular test plates but can also be composed mainly or only of organic cement. The neck is very short with a linear aperture and surrounded by an organic collar.
Dimensions: Length: 90-95 µm, breadth: 62-71 µm, L/B ratio: 1.3-1.4. Aperture 24-26 µm wide. These dimensions were given by Kosakyan et al. (2012), based on their population. Further studies are needed to clarify the variability in size within this taxon.
Ecology: In Sphagnum vegetation.
Geographical distribution: Broad Holarctic distribution but also found in Asia: Java, Sulawesi; Australasia: Maluku Islands, New Guinea.
Remarks: Kosyakan et al. (2012) examined the relationship between morphological and genetic diversity within the species complex of Nebela tincta-collaris-bohemica. They showed that small variations in test morphology, often overlooked by traditionally taxonomy, correspond to distinct haplotypes and they redefined Nebela tincta, N. collaris, N. tincta var.rotunda and described three new species, N. guttata, N. pechorensis and N. aliciae.
They state that:
- the type and overall composition of the test cannot be used as a taxonomic character;
- the number and presence of pores has no taxonomical value;
- the main taxonomic morphological characters are the size and the shape of the shells;
- the size and the shape of the aperture might be a taxonomical character.
References: Kosakyan, A., Meisterfeld, R., Lara, E., Duckert, C., Mitchell, E., 2025. A taxonomic monograph of hyalospheniid testate amoebae. Amoebozoa: Arcellinida: Hyalospheniformes, Mémoire XIV. Éditions Alphil-Presses universitaires suisses, Neuchâtel.
>



>
