
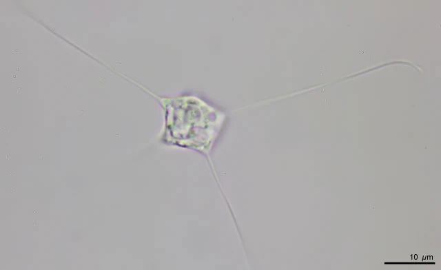
Artodiscus saltans Penard, 1890
Diagnosis: Shell a flexible membrane, spherical to polyhedral, covered with very small grains of various kinds; nucleus eccentric, finely granulated with a small nucleolus; 7-12 slowly moving projections, which look like filopodia or cilia, extend through pores of the envelope; base of these projections thickened. In normal locomotion the cell has one leading filopodium with two trailing filopodia behind, shaped like a Y. These three filopodia don’t hardly move; the other filopodia are moving like flagella, making rowing movements.
Dimensions: Penard 18-23 µm; De Groot (1979): 27-40 µm (n=4); my measurements: 13-24 µm (n=15).
Ecology: fresh and brackish water. In sediments of ditches, lakes and rivers, also reported from a flooded pasture (Penard, 1890) . Penard (1890), De Groot (1979) and Török (2006) have collected this species in clear running waters. I found it in following locations:
- 1973 in the Spiegelplas, a large (280 ha) and deep (45 m) lake which has been dredged for sand supply in the sixties. The lake has very clear water and is only fed by rain and seepage. In 2013 I found this species again, after 40 years, at the same location.
- 2012 in a shallow ditch along a forest in Gaasterland, Friesland, the Netherlands. Stagnant oligotrophic water.
- 2014 one specimen in the river Saar in Germany, not exactly very clean and clear water!
- 2015 one specimen in a sample from floating debris shortly after the ice in the ditches has melted. This sample came from an eutrophic ditch near the Naardermeer, the Netherlands.
- 2015 some specimens in brackish water from an old washing basin along the French coast.
- 2015 specimen in the IJsselmeer, a very large lake, near Kornwerderzand, where the water is shallow and oligotrophic.
- 2017 specimens in the river Jonte in Southern France.
Remarks: Though the projections move slowly, the organism moves relatively fast in de direction of one leading projection. Because of the cilia-like movement of the projections, this species has been moved to the group of residual heterotrophic flagellates. Further investigations are needed to clear its taxonomic status. In its behavior and the presence of cilia-like filopodia with thickened base, this species closely resembles Paramphitrema species.
In a wet mount, kept for more than a week in a moist chamber, this species multiplied.
References: Ntakou, E., Siemensma, F., Bonkowski, M., Dumack, K., 2019. The Dancing Star: Reinvestigation of Artodiscus saltans (Variosea, Amoebozoa) Penard 1890. Protist, 170. 349-357.















